Before and After Photos

Smile Makeover Photos

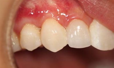
Before and After Photos - Before Treatment - Pinhole Surgical Technique Before and After Photos - After Treatment - Pinhole Surgical Technique
Before and After Photos - Before Treatment - Composite Restoration Before and After Photos - After Treatment - Composite Restoration
Before and After Photos - Before Treatment - Veneers Before and After Photos - After Treatment - Veneers
Before and After Photos - Before Treatment - Veneers Before and After Photos - After Treatment - Veneers
Before and After Photos - Before Treatment - Veneers Before and After Photos - After Treatment - Veneers
Before and After Photos - Before Treatment - CEREC Crown Before and After Photos - After Treatment - CEREC Crown
Before and After Photos - Before Treatment - Full Smile Makeover Before and After Photos - After Treatment - Full Smile Makeover
Before and After Photos - Before Treatment - Full Smile Makeover Before and After Photos - After Treatment - Full Smile Makeover
Before and After Photos - Before Treatment - CEREC Crown Before and After Photos - After Treatment - CEREC Crown
Before and After Photos - Before Treatment - Dental Crown Before and After Photos - After Treatment - Dental Crown
Before and After Photos - Before Treatment - Multiple Teeth Replacement Before and After Photos - After Treatment - Multiple Teeth Replacement
Before and After Photos - Before Treatment - CEREC Crown Before and After Photos - After Treatment - CEREC Crown
Before and After Photos - Before Treatment - Cerec Before and After Photos - After Treatment - Cerec
Before and After Photos - Before Treatment - CEREC Before and After Photos - After Treatment - CEREC
Before and After Photos - Before Treatment - Veneer Before and After Photos - After Treatment - Veneer
Before and After Photos - Before Treatment - Veneers Before and After Photos - After Treatment - Veneers
Before and After Photos - Before Treatment - Frenulectomy Before and After Photos - After Treatment - Frenulectomy
Before and After Photos - Before Treatment - Invisalign Before and After Photos - After Treatment - Invisalign
Before and After Photos - Before Treatment - Invisalign Before and After Photos - After Treatment - Invisalign

Dr. Subka can give you the smile you want. Contact us today!

Schedule Your Appointment